Một khảo sát nhỏ của phóng viên báo Đất Việt cho thấy, có đến 90% đàn ông để điện thoại ở túi quần, số còn lại rất ít để điện thoại trong bao đeo ở thắt lưng, hoặc để ở túi áo. Thói quen này được các nhà khoa học cảnh báo là hết sức có hại cho sức khoẻ, đặc biệt là khả năng sinh sản.

Đút điện thoại vào túi quần là thói quen của nhiều người. (Ảnh: Hà Hiệp)
Bị chiếu sóng, yếu thấy rõ
Trong những năm gần đây, đã có 2 nghiên cứu được thực hiện ở Việt Nam về nguy cơ của sóng điện thoại di động đối với chất lượng tinh trùng.
Cách đây 4 năm, một nhóm sinh viên trẻ của Học viện Quân y đã tiến hành nghiên cứu về vấn đề trên. Nhóm nghiên cứu đã dành một năm để theo dõi 15 con chuột bạch đực được chiếu sóng siêu cao tần (High frequency - HF) và có đối chứng với 15 con chuột bạch khác nuôi trong điều kiện trong bình thường. Kết quả, sau bốn tuần khi đo số lượng tinh trùng, những con chuột này chỉ còn 15 – 19 triệu/ml, trong khi bình thường là 63 - 71 triệu/ml. Bên cạnh đó, chất lượng tinh trùng cũng kém đi rất nhiều. Số tinh trùng chuyển động chậm lên đến 27%, trong khi ở chuột bình thường là 11%. Chuột bị chiếu sóng siêu cao tần khi cho cặp đôi với chuột cái đã không hề sinh con.
Cùng lúc với việc thực nghiệm trên chuột, nhóm nghiên cứu tìm hiểu sự ảnh hưởng đối với 142 người nam tuổi từ 23 – 25, làm việc trong các trạm radar với thời gian từ 1- 3 năm. Kết quả thật đáng chú ý khi xét nghiệm tinh dịch đồ cho thấy, có tới 75 người bị giảm rõ rệt về số lượng và chất lượng tinh trùng. Nguyên nhân của tình trạng này là do sóng siêu cao tần hủy hoại các tế bào dòng tinh.
Một báo cáo khoa học cũng gây chú ý không kém tại hội nghị quốc tế Việt - Đức về Vật lý và Kỹ thuật lần thứ 11 tổ chức năm 2008 tại Nha Trang. Báo cáo khoa học này có tên “ Nghiên cứu điện tử học y sinh lượng tử về các hiệu ứng của bức xạ điện từ cao lên cấu trúc trung tâm của Protein sắt – lưu huỳnh đa chức năng của tuyến thượng thận”. Nhóm các nhà khoa học như GS. TSKH Nguyễn Văn Trị, Viện vật lý kỹ thuật, Đại học Bách khoa Hà Nội); GS Lê Đức Tu - Học viện quân y (nay đã mất); GS Dương Xuân Đạm, Bệnh viện quân đội 108 qua nghiên cứu trên cũng cho thấy, sóng điện thoại có ảnh hưởng nhất định đến con người. Sóng siêu cao tần khiến cho tuyến thượng thận không thực hiện được nhiều chức năng vốn có, trong đó có việc sản xuất cả những hormone sinh dục.

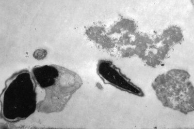
Ảnh chụp qua kính hiển vi đầu tinh trùng người có hình dạng bất thường: Có hai nhân, màng tế bào nhăn nhúm, còn nhiều bào tương (Ảnh trích từ đề tài nghiên cứu của nhóm sinh viên ở Học viện Quân y)
Không để điện thoại trong túi quần
Không giống như khói thuốc lá, từ trường của điện thoại di động là vô hình, không màu sắc, không mùi vị. Chúng âm thầm xâm nhập cơ thể nơi có tiếp cận và có thể gây ra ảnh hưởng xấu. Có một nhà khoa học đã từng đưa hình ảnh rất đáng suy nghĩ: “Chắc không ai muốn đút đầu vào lò hâm thực phẩm vi ba, nhưng nhiều người lại hân hoan áp chiếc điện thoại di động sát tai, vào đầu”. Hình ảnh này cho thấy, sự chủ quan của khá nhiều người khi sử dụng điện thoại di động.
Khuyến cáo của các nhà khoa học là không nên đeo điện thoại ở thắt lưng ( vùng có tuyến thận). Không để điện thoại trong túi quần. Không nghe điện thoại quá lâu ( trên 2 tiếng)… Trước ảnh hưởng hưởng của sóng cao tần, nhiều nhà khoa học đã đưa ra giải pháp như sử dụng cột phá sóng, lồng Paraday ( một dạng lồng sắt chụp lên toàn bộ ngôi nhà, đồ vật cần cách ly.)…Tuy nhiên, GS. TSKH Nguyễn Văn Trị cho rằng, đây là giải pháp không khả thi bởi lẽ, dịch vụ di động đang và sẽ trở thành thứ không thể thiếu trong cuộc sống hiện đại. Cách tốt nhất là chúng ta nên hiểu rõ về loại sóng này để chung sống hoà bình với chúng. Lời khuyên của GS Trị là sử dụng hạn chế điện thoại di động, nên để điện thoại ở túi xách, khi cần nghe, gọi mới đem ra, không nghe quá lâu…
Ngoài ra, những thói quen sinh hoạt làm tăng nhiệt độ ở tinh hoàn cũng làm hạn chế quá trình “sản xuất” tinh binh, như mặc đồ chật, ngồi nhiều trên xe hay do làm việc văn phòng, tắm bồn nước nóng, stress...
Theo Danong
Top
Tiếp thị & Tiêu dùng - tiepthitieudung.com. All Right Reserved
Tiếp thị & Tiêu dùng - Cập nhật thông tin mới nhất về giá cả, thị trường, mua sắm...
tiepthitieudung.com giữ bản quyền trên website này
Liên hệ: [email protected]