Search
Vì sao nên thò chân ra khỏi chăn khi ngủ

Vì sao nên thò chân ra khỏi chăn khi ngủ

Mất ngủ là điều chẳng ai mong đợi. Có thể bạn đã “đếm cừu, đếm sao”, hay làm nhiều mẹo khác nhưng vẫn không khép hai mí mắt lại được, vậy hãy thử thêm cách thò chân ra ngoài chăn xem sao.

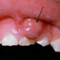
Cách phòng tránh ung thư miệng - điều ai cũng cần

05-03-2016 13:44
Hãy có những cách để phòng tránh ung thư miệng - điều ai cũng cần, các bạn hãy lưu ý ngay!

Với đàn ông 'yêu' giờ nào tuyệt vời nhất?

05-03-2016 09:57
Có phải giờ nào đàn ông cũng có ham muốn cho "chuyện ấy"?

Tổng hợp cách điều trị bệnh viêm xoang hữu hiệu

04-03-2016 13:38
Dưới đây là các phương pháp điều trị bệnh viêm xoang hiệu quả nhất mà mọi người nên biết.

“Sát thủ” âm thầm giết chết gia đình bạn trong bữa ăn mỗi ngày

04-03-2016 11:30
“Sát thủ” âm thầm giết chết gia đình bạn trong bữa ăn mỗi ngày, hãy lưu ý ngay trước khi quá muộn!

7 mẹo giúp âm đạo bớt sưng đau sau sinh

04-03-2016 09:54
Ai cũng đều công nhận rằng sau sinh là giai đoạn khó khăn nhất của người phụ nữ.

"Bí kíp" giúp mẹ sinh bé trong... 30 phút!

04-03-2016 09:14
Không biết các mẹ thế nào chứ mình thấy chuyện sinh con và cơn đau đẻ không quá đáng sợ như nhiều người dọa.

Cảnh báo: Đừng hâm nóng 6 loại thực phẩm sau, chúng sẽ đầu độc cả gia đình bạn

04-03-2016 09:09
Khi có thức ăn còn thừa lại sau mỗi bữa ăn, hầu hết các gia đình đều thực hiện hâm lại để dùng cho bữa tiếp theo

5 thay đổi về sức khỏe đáng kể nhất khi bạn có con

03-03-2016 18:00
Có thể nói việc sinh con không chỉ khiến cơ thể phụ nữ thay đổi mà sức khỏe cũng thay đổi theo.

Điểm danh 7 sai lầm thường gặp khi cho con bú

03-03-2016 14:25
Cho con bú là một trong những bản năng của người làm mẹ. Tuy nhiên, không phải mẹ nào cũng có thể trở thành "chuyên gia" ngay trong các lần đầu.

Những loại rau quen thuộc chứa nhiều hóa chất ta đang ăn mỗi ngày

03-03-2016 13:30
Những loại rau quen thuộc chứa nhiều hóa chất ta đang ăn mỗi ngày, nếu không biết gia đình bạn bệnh lúc nào không hay!

Những thực phẩm ngậm nhiều hóa chất nhất mà bạn ăn hàng ngày

03-03-2016 11:36
Dưới đây là danh sách những thực phẩm quen thuộc nhưng ngậm nhiều hóa chất nhất mà chúng ta đang ăn mỗi ngày!

Dấu hiệu cho thấy nàng đã đạt cực khoái khi "yêu"

03-03-2016 11:22
Những biểu hiện dưới đây cho thấy chị em đã đạt cực khoái đấy chồng nhé!

Lợi ích của rau diếp với mẹ bầu ít ai biết

03-03-2016 09:25
Không chỉ là loại rau thanh mát dễ ăn, rau diếp còn có nhiều tác dụng với phụ nữ mang thai.

Bị những bệnh này chỉ cần dùng lá ổi là khỏi ngay tức khắc

02-03-2016 17:30
Khi mắc phải những bệnh này bạn chỉ cần dùng lá ổi là có thể khỏi ngay mà không phải dùng tới thuốc tây!

Tía tô là thần dược cứu người khỏi bàn tay tử thần

02-03-2016 11:30
Tứ lâu tía tô là thần dược cứu người khỏi bàn tay tử thần mà thần y Hoa Đà phát hiện ra.

Thực phẩm giúp quý ông sung mãn nhất cho người yếu sinh lý

02-03-2016 10:11
Nếu muốn luôn sung mãn dù ở tuổi nào, các quý ông chỉ cần bổ sung đều đặn những thực phẩm quen thuộc dễ kiếm dưới đây!

Những dấu hiệu của vợ ngoại tình cơ bản

02-03-2016 08:56
Ngoại tình luôn là mối đe dọa hàng đầu cho các cuộc hôn nhân, nó không chỉ có thể xuất phát từ người chồng mà còn từ người vợ với tỉ lệ tương đương.

Chạm đúng điểm G vợ sẽ "ướt át" ngay lập tức

02-03-2016 08:50
Chỉ cần xác định đúng điểm G sẽ khiến nàng thăng hoa.

Triệu chứng bạn đã mắc bệnh viêm não mô cầu

02-03-2016 08:46
Nếu có những triệu chứng bạn đã mắc bệnh viêm não mô cầu, hãy lưu ý để đi khám trong thời gian sớm nhất!

Bài thuốc chữa đau vai gáy "chuẩn không cần chỉnh"

01-03-2016 18:30
Có nhiều bài thuốc chữa đau vai gáy tại nhà rất đơn giản.

Méo mặt vì bệnh trĩ khi mang bầu

01-03-2016 15:31
Tình trạng táo bón kéo dài chính là nguyên nhân khiến mẹ bầu dễ mắc bệnh trĩ.

Trầm cảm sau sinh - 4 yếu tố "đe dọa" bà đẻ

01-03-2016 15:30
Trầm cảm sau sinh ngày càng phổ biến ở các bà mẹ sau khi vượt cạn. Dưới đây là 4 nguyên nhân chính và cách phòng tránh, mẹ nhớ theo dõi nhé!

4 lý do quan hệ tình dục giúp bạn quyến rũ hơn

01-03-2016 12:07
Nhiều nghiên cứu chứng minh quan hệ tình dục thường xuyên sẽ giúp tăng cường sức khỏe, nhưng ít ai biết sex còn cải thiện vẻ ngoài của bạn.

Mẹ và bé

Vitadairy là công ty sữa duy nhất vào top 10 doanh nghiệp tăng trưởng nhanh nhất việt nam 2024
Ngày 24-04 tại Hà Nội, Công ty Cổ phần Sữa VitaDairy Việt Nam được Vinh danh trong top 10 Doanh...
 
Công bố sản phẩm mới Varna Colostrum dưới sự hợp tác giữa Viện Nghiên cứu Dinh dưỡng Nutifood Thuỵ Điển (NNRIS) và Công ty Sterling Technology (Mỹ)
Nutifood Thụy Điển công bố ra mắt sản phẩm Varna Colostrum được đặc chế phù hợp cho thể trạng người...
 
Có nên giữ trẻ vô khuẩn?
Sống trong một thế giới nhiều vi khuẩn và ô nhiễm hiện nay khiến nhiều bố mẹ lo lắng không...
 
Vì sao cần bổ sung vitamin hợp lý cho trẻ em?
Vitamin và khoáng chất giữ vai trò quan trọng đối với sự phát triển trí tuệ và thể lực của...

Sức khỏe gia đình

Bác sĩ Đỗ Quang Khải vinh dự giảng dạy nâng mũi tại hội nghị Isaps danh giá
Hội nghị ISAPS là sự kiện thường niên uy tín bậc nhất trong lĩnh vực phẫu thuật thẩm mỹ, quy...
 
Phía sau những lời đồn: Công nghệ điều trị xương khớp của BK Dong Yang có đáng tin?
Trong thời đại mà mạng xã hội có thể “lên án” một đơn vị chỉ sau vài dòng trạng thái...
 
Doppelherz:
Doppelherz, thương hiệu đến từ Đức, đã khẳng định vị thế vững chắc tại Việt Nam sau hơn một thập...
 
Wellness Expo 2024: Lan tỏa lối sống lành mạnh, thân thiện với môi trường
Với chủ đề “Sống lành từ thiên nhiên”, Triển lãm Quốc tế về Sản phẩm Chăm sóc sức khỏe và...

Sức khỏe sinh sản

Thói quen xấu
Sau một nghiên cứu mới của Trường Công nghệ Y học ở Haifa, Israel, thì có vẻ như nam giới...
 
Bài thuốc giúp lấy lại bản lĩnh phái mạnh
Yếu sinh lý ở nam giới là tình trạng “cậu nhỏ” không có khả năng cương cứng hoặc không duy...
 
5 dấu hiệu nhận biết yếu sinh lý ở nam giới
Yếu sinh lí là nỗi lo của nhiều đấng mày râu trong đời sống tình dục, nó làm cho chàng...
 
Những thói quen khiến “cậu nhỏ” đuối dần
Ngoài nguyên nhân do tuổi tác, tâm lý, bệnh tật thì có những thói quen hàng ngày tưởng như vô...

Bí quyết sống khỏe

Wellness Expo 2023 – Sự kiện truyền cảm hứng sống khỏe trong cộng đồng
Với thông điệp “Hành trình sống khỏe”, triển lãm Wellness Expo 2023 không chỉ là một triển lãm thương mại...
 
InterContinental Danang giới thiệu chuỗi trải nghiệm chăm sóc sức  khỏe toàn diện
Hành trình chăm sóc sức khỏe diễn ra trong một ngày của khu nghỉ dưỡng 5 sao tại Đà Nẵng...
 
Ung thư máu không phải là dấu chấm hết
Mặc dù là ung thư, nhưng ung thư máu là một trong những bệnh ung thư có thể chữa khỏi,...
 
Phòng khám Đa khoa Hữu Thọ - Nơi bạn đặt niềm tin để bảo vệ sức khỏe
Phòng Khám Đa Khoa Hữu Thọ là một trong số ít những phòng khám hội tụ đầy đủ các yếu...

Mẹ và bé

Vitadairy là công ty sữa duy nhất vào top 10 doanh nghiệp tăng trưởng nhanh nhất việt nam 2024
Ngày 24-04 tại Hà Nội, Công ty Cổ phần Sữa VitaDairy Việt Nam được Vinh danh trong top 10 Doanh...
 
Công bố sản phẩm mới Varna Colostrum dưới sự hợp tác giữa Viện Nghiên cứu Dinh dưỡng Nutifood Thuỵ Điển (NNRIS) và Công ty Sterling Technology (Mỹ)
Nutifood Thụy Điển công bố ra mắt sản phẩm Varna Colostrum được đặc chế phù hợp cho thể trạng người...
 
Có nên giữ trẻ vô khuẩn?
Sống trong một thế giới nhiều vi khuẩn và ô nhiễm hiện nay khiến nhiều bố mẹ lo lắng không...
 
Vì sao cần bổ sung vitamin hợp lý cho trẻ em?
Vitamin và khoáng chất giữ vai trò quan trọng đối với sự phát triển trí tuệ và thể lực của...

Sức khỏe gia đình

Bác sĩ Đỗ Quang Khải vinh dự giảng dạy nâng mũi tại hội nghị Isaps danh giá
Hội nghị ISAPS là sự kiện thường niên uy tín bậc nhất trong lĩnh vực phẫu thuật thẩm mỹ, quy...
 
Phía sau những lời đồn: Công nghệ điều trị xương khớp của BK Dong Yang có đáng tin?
Trong thời đại mà mạng xã hội có thể “lên án” một đơn vị chỉ sau vài dòng trạng thái...
 
Doppelherz:
Doppelherz, thương hiệu đến từ Đức, đã khẳng định vị thế vững chắc tại Việt Nam sau hơn một thập...
 
Wellness Expo 2024: Lan tỏa lối sống lành mạnh, thân thiện với môi trường
Với chủ đề “Sống lành từ thiên nhiên”, Triển lãm Quốc tế về Sản phẩm Chăm sóc sức khỏe và...
Thêm chất lãng mạn cho mùa yêu : Tạo nên những khoảnh khắc đáng nhớ nhân ngày Valentine tại Á Châu
Tháng Hai này, hãy dành tặng người thương của bạn một kỳ nghỉ thực sự khó quên tại những khách...
 
“We make impossible things possible” - Staris Latkas mang triết lý đột phá song hành cùng khu nghỉ dưỡng lớn nhất của Marriott tại việt nam
Nha Trang Marriott Resort Spa, Hon Tre Island trân trọng thông báo việc bổ nhiệm ông Staris Latkas vào...
 
Mùa lễ hội nhiệm màu cùng khách sạn Hà Nội Daewoo 
Khoảng thời gian đẹp nhất trong năm tại khách sạn Hà Nội Daewoo tựa như một bản hoà ca rộn...
 
MGallery Hotel Collection tại Châu Á ra mắt loạt trải nghiệm sống động nhân dịp Ngày hội Di sản - Heritage Days 2025
MGallery Hotel Collection tôn vinh lịch sử toàn cầu thông qua các hoạt động trong Ngày hội Di sản Heritage...
 
Ở đây có viết thư tình cho tổ quốc, Đừng bỏ lỡ 80 năm chỉ có một lần
Trong thời đại mà mọi thứ đều được gõ phím hay chạm màn hình, liệu có bao giờ bạn tự...
 
Khách sạn Hà Nội Daewoo được vinh danh trong top 10% khách sạn hàng đầu thế giới bởi Tripadvisor
Mới đây, khách sạn Hà Nội Daewoo vinh dự được Tripadvisor nền tảng du lịch lớn và uy tín...
Sắm tết tại siêu thị BRGMart, Ngựa vàng khai vận 2026
Nhằm phục vụ nhu cầu mua sắm của người dân trong dịp Tết Nguyên đán Bính Ngọ 2026, Hệ thống...
 
Wellness Expo 2025: 100 doanh nghiệp trong và ngoài nước tham gia hành trình sống khỏe - Công nghệ nâng tầm sống khỏe
Doanh nghiệp và người tiêu dùng có cơ hội trải nghiệm công nghệ chăm sóc sức khỏe tiêu biểu của...
 
Bùng nổ xu hướng chăm sóc sức khỏe tại Wellness Expo 2025
Hà Nội, ngày 11 tháng 9 năm 2025. Triển lãm Quốc tế về Sản phẩm Chăm sóc Sức khỏe và...
 
Hoa ca - Khu vườn đoàn viên rực rỡ từ khách sạn Hà Nội Daewoo
Tiếp nối hành trình tinh hoa qua gần 30 mùa trăng viên mãn, Tết Đoàn Viên 2025, khách sạn Hà...
 
BRGMART mang ẩm thực Hoa Kỳ tới bàn ăn Người Việt
13/6/2025, hệ thống siêu thị BRGMart, Đại Sứ Quán Hoa Kỳ và Hiệp hội xuất khẩu thịt Hoa Kỳ (USMEF)...
 
Dấu hiệu nhận biết rau
Bài viết này sẽ cung cấp cho bạn một số đặc điểm để nhận biết rau có thuốc trừ sâu,...

Sức khỏe sinh sản

Thói quen xấu
Sau một nghiên cứu mới của Trường Công nghệ Y học ở Haifa, Israel, thì có vẻ như nam giới...
 
Bài thuốc giúp lấy lại bản lĩnh phái mạnh
Yếu sinh lý ở nam giới là tình trạng “cậu nhỏ” không có khả năng cương cứng hoặc không duy...
 
5 dấu hiệu nhận biết yếu sinh lý ở nam giới
Yếu sinh lí là nỗi lo của nhiều đấng mày râu trong đời sống tình dục, nó làm cho chàng...
 
Những thói quen khiến “cậu nhỏ” đuối dần
Ngoài nguyên nhân do tuổi tác, tâm lý, bệnh tật thì có những thói quen hàng ngày tưởng như vô...

Bí quyết sống khỏe

Wellness Expo 2023 – Sự kiện truyền cảm hứng sống khỏe trong cộng đồng
Với thông điệp “Hành trình sống khỏe”, triển lãm Wellness Expo 2023 không chỉ là một triển lãm thương mại...
 
InterContinental Danang giới thiệu chuỗi trải nghiệm chăm sóc sức  khỏe toàn diện
Hành trình chăm sóc sức khỏe diễn ra trong một ngày của khu nghỉ dưỡng 5 sao tại Đà Nẵng...
 
Ung thư máu không phải là dấu chấm hết
Mặc dù là ung thư, nhưng ung thư máu là một trong những bệnh ung thư có thể chữa khỏi,...
 
Phòng khám Đa khoa Hữu Thọ - Nơi bạn đặt niềm tin để bảo vệ sức khỏe
Phòng Khám Đa Khoa Hữu Thọ là một trong số ít những phòng khám hội tụ đầy đủ các yếu...
Top
Điện thoại:

Tiếp thị & Tiêu dùng - tiepthitieudung.com. All Right Reserved
Tiếp thị & Tiêu dùng - Cập nhật thông tin mới nhất về giá cả, thị trường, mua sắm...
tiepthitieudung.com giữ bản quyền trên website này
Liên hệ: [email protected]

4.90688 sec| 1875.102 kb